La trisomia 16 è un'anomalia cromosomica in cui sono presenti tre copie del cromosoma 16 anziché due. È la trisomia più comune che porta all'aborto spontaneo e la seconda causa cromosomica più comune, dopo la monosomia del cromosoma X. Circa il 6% degli aborti è affetto da trisomia 16 e si verificano principalmente tra l'ottava e la quindicesima settimana dopo l'ultima mestruazione.
Non è possibile che un bambino nasca vivo con una copia in più di questo cromosoma presente in tutte le cellule (trisomia 16 completa). È possibile, tuttavia, che un bambino nasca vivo con un mosaicismo.
Normalmente gli esseri umani hanno 2 copie del cromosoma 16, una ereditata da ciascun genitore. Questo cromosoma rappresenta quasi il 3% di tutto il DNA nelle cellule.
Clinica
Trisomia 16 completa
La trisomia 16 completa è incompatibile con la vita e il più delle volte si traduce in aborto spontaneo durante il primo trimestre. Ciò si verifica quando tutte le cellule del corpo contengono una copia extra del cromosoma 16.
Trisomia 16 a mosaico
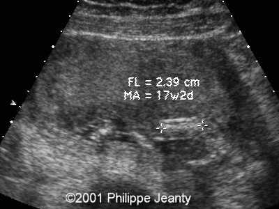
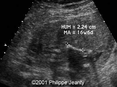
Il mosaicismo della trisomia 16 è una rara malattia cromosomica compatibile con la vita, quindi un bambino può nascere vivo. Ciò accade quando solo alcune delle cellule del corpo contengono la copia extra del cromosoma 16. Alcune delle conseguenze includono una crescita lenta prima della nascita.
Diagnosi prenatale
Durante la diagnosi prenatale è possibile analizzare i livelli di trisomia nei tessuti feto-placentari. Questi livelli possono essere predittori dei risultati nelle gravidanze con trisomia 16 a mosaico. In uno studio sui casi di diagnosi prenatale, c'erano il 66% dei nati vivi con un'età gestazionale media di 35,7 settimane. Circa il 45% di loro aveva malformazioni. Le malformazioni più comuni erano spina bifida, difetto interatriale e ipospadia. Tuttavia, la trisomia 16 placentare non sempre provoca anomalie anatomiche.
Screening
Durante la gravidanza, le donne possono essere sottoposte a screening mediante prelievo di villi coriali (villocentesi) e amniocentesi per rilevare la trisomia 16. Con l'avvento delle tecniche non invasive per la rilevazione dell'aneuploidia, lo screening prenatale con test che utilizzano il sequenziamento di nuova generazione può essere utilizzato prima delle tecniche invasive. Ciò può causare un ritardo della crescita fetale.
Note
Collegamenti esterni
- Disorders of Chromosome 16 Foundation




